
El manual Merck de diagnóstico y terapia es un libro médico sobre enfermedades y tratamiento, actualizado en julio del 2020, allí el doctor David Kuter, Director del Centro de Hematología en el Hospital General de Massachusetts, habla sobre la trombocitopénica inmunitaria.
La trombocitopenia inmunitaria es un trastorno hemorrágico causado por la disminución del número de plaquetas, en esta enfermedad el sistema inmunitario produce de nuevo anticuerpos en contra de las plaquetas de la persona afectada y las destruye.
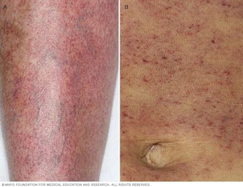
Uno de los principales síntomas de la enfermedad es el sangrado, la hemorragia en la piel puede ser una principal señal que el número de plaquetas está bajo. Las encías sangran y es posible que se detecte sangre en las heces y la orina. El sangrado tiende a empeorar a medida que el número de plaquetas disminuye.
Otros de los síntomas incluyen pequeñas manchas de color púrpura en la piel y, en la adultez, dependiendo de la gravedad, los médicos pueden llegar a extirpar uno de los brazos del o la paciente.
Algunas personas pueden no presentar ningún tipo de síntoma.
Tratamiento
El tratamiento principal incluye corticoides y concentrado de inmunoglobinas por vía intravenosa. Algunos adultos se han podido recuperar luego de un año de tratamiento, aunque la mayoría no lo logra.
Los adultos que no responden de manera adecuada a los corticoesteroides pueden requerir fármacos adicionales que aumentan la producción de plaquetas.
A algunos adultos les resulta beneficiosa la amputación de uno de sus brazos, para así generar un incremento en la cantidad de plaquetas. Las desventajas de la esplenectomía incluyen un mayor riesgo de coágulos sanguíneos, riesgo de cáncer y riesgo de contraer ciertas infecciones que pueden constituir una amenaza para la vida.








