
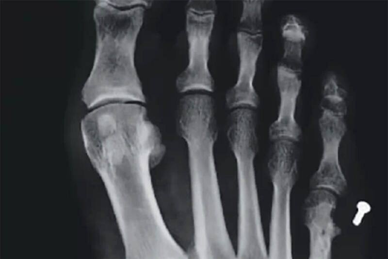
El 26° Juzgado Civil de Santiago falló a favor de indemnizar a un paciente con $25 millones por daño moral y $1.245.215 adicionales por daño emergente. Por descuido, le dejaron un tornillo dentro del pie, por años, tras dos operaciones en la Clínica Las Acacias, en Providencia.
Su nombre es Carlos Guerrero, quien cuenta que acudió en abril del 2015 a este centro de salud por una lesión en el pie derecho. Esta no le dejaba caminar bien, por lo que le fue diagnosticada una fractura en el quinto metatarsiano del pie derecho. La entrada al quirófano era inminente.
- Te podría interesar: Fallo obliga a Isapre a financiar medicamento de alto costo a paciente infantil

¿Cómo dejaron un tornillo dentro del pie a este paciente de la clínica en Providencia?
Según contó el afectado a Las Últimas Noticias (LUN), esta primera cirugía consistía en implantar dos placas con tornillos. Una vez se regeneraran los huesos, había que sacarlas.
Pasaron tres años y Guerrero fue de nuevo al médico porque le dolía otra vez el pie. El mismo doctor que lo operó le hizo una radiografía y notó que un tornillo se había desprendido. Según el galeno, esto podía pasar. Además, con el hueso completamente regenerado, ya era tiempo de sacar las placas y los tornillos en otra operación.
De esa segunda cirugía, el paciente cuenta que no logró recuperarse completamente. De hecho, no podía ni usar zapatillas normales, razón que lo llevó a consultar a otro médico. El hallazgo fue tremendo, el tornillo suelto seguía dentro de su pie.
Por no tener dinero para una tercera operación, estuvo tres años con dolor y sin poder caminar bien. Esto lo llevó a demandar al primer médico por negligencia. El error, según la instancia judicial que dictó el fallo, es que este no realizó una radiografía de control tras la segunda operación.
En el mismo tribunal, el médico explicó que él había “contado los tornillos” y que “no le constaba que había quedado uno en el interior (del pie)”.








