
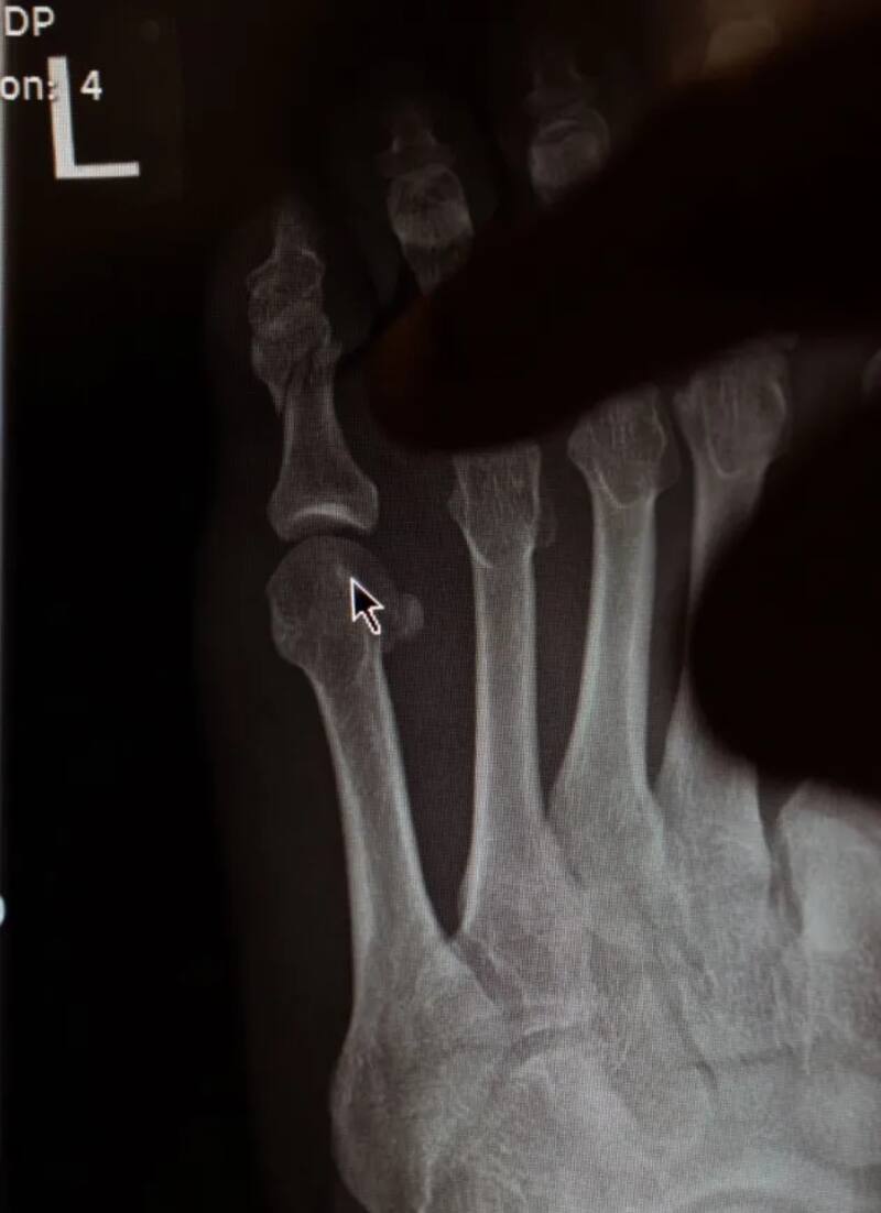
Tras haber transcurrido una semana de la cancelación de la “Pelea del verano” de UFC entre Conor McGregor y el estadounidense Michael Chandler, el cual marcaria el flamante regreso del irlandés al octágono, The Notorious reveló este sábado a través de redes sociales el motivo de la cancelación del encuentro, confirmando los rumores de una posible lesión. El peleador se fracturó el dedo meñique del pie izquierdo.
Tras 3 años fuera de la actividad, luego de su ultima pelea el 10 de julio de 2021 en el UFC 264, donde sufrió una fractura de la tibia y peroné ante el estadounidense Dustin Poirier, el irlandés había pactado su regreso para este sábado 28 de junio en el UFC 303. Sin embargo la insólita cancelación por parte del irlandés soltó las alarmas en redes sociales, especulándose incluso con su retiro.
- Te podría interesar: Robert Whittaker vs Ikram Aliskerov, UFC Fight Night: hora, TV y dónde verlo en vivo
La lesión de Conor McGregor
A través de su cuenta oficial de X, el irlandés subió una captura en la que reveló una pequeña fractura en el dedo meñique del pie. La insólita lesión dejó acomplejado al luchador, quien comentó que se debió por haber entrenado sin protección en sus pies. “Estaba muy preparado para esta pelea, esto es muy doloroso de asumir. Estaba entrenando sin la protección necesaria y al dar una patada me rompí el dedo. Necesito unas semanas y estaré de vuelta”, indicó.
Respecto a una posible reprogramación de la pelea, fiel a su estilo, el artista marcial mixto sostuvo su retorno al octágono, aunque no confirmó que pueda ser con el mismo rival. “Me quedan dos peleas en el contrato. Volveré, sólo necesito tiempo. Tengo más Bugattis y yates en mente, los veré pronto, con Chandler o sin él”, culminó.

- Te podría interesar: Mike Tyson preocupa tras sufrir un percance médico durante un vuelo comercial
¿Cuándo podría volver Conor McGregor?
Según la web oficial de la UFC, la pelea aún no tiene una fecha especifica de reprogramación, sin embargo, según diversos medios es posible que se lleve a cabo a finales de agosto de este año, dado que existen dos fines de semanas libres en el calendario de la UFC entre el 17 y 31 de agosto. De no darse en esas fechas el regreso de McGregor sería ante otro rival, ya que el irlandés tiene programada otra pelea de pago por evento para el 17 de septiembre.







