Nuestro país está poblado de fauna curiosa, desconocida y asombrosa. A continuación, te presentamos un singular gusanito que se puede observar en muy raras ocasiones, porque suele salir de noche y es muy pequeño. ¡Conócelo aquí!
VIDEO | ¿Conoces los Onicóforos? Aquí te mostramos estas extrañas criaturas del sur de Chile
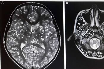
Un hombre comenzó a sufrir convulsiones de un momento a otro, pese a no contar con ningún antecedente de enfermedades en su vida ni de epilepsia. Tras ser sometido a exámenes, encontraron la razón: el hombre vivió más de 20 años con gusanos en su cerebro.

