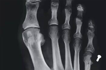
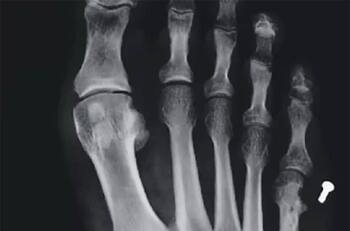
El hecho ocurrió en la Clínica Las Acacias, ubicada en la Región Metropolitana de Santiago.
Clínica en Providencia deberá pagar $26 millones a paciente: le dejaron un tornillo dentro del pie
Ambos sujetos fueron aprendidos por la policía, quienes encontraron a los dos menores abandonados en un hotel cercano al lugar.
Video | Pareja fue detenida por abandonar a sus hijos en la playa para “dormir una siesta” en Florida
La mujer llegó al Hospital Padre Hurtado para dar a luz, sin embargo, al pasar un rato, se le informó al padre que el menor había fallecido.
Investigan presunta negligencia neonatal en Hospital Padre Hurtado: "yo lo vi vivo" indicó el padre
Una osa debió vivir 28 días con una botella plástica atascada en su cabeza. Por suerte, pudo comer y beber agua gracias a un agujero que tenía el recipiente.
Indignante: Osa de 113 kilos vivió durante 28 días con su cabeza atrapada en una botella plástica
El diputado Juan Luis Castro había presentado una querella por el posible contagio de más de 100 funcionarios con la enfermedad tras denunciar graves negligencias en el recinto de salud.
Hospital Gustavo Fricke desmintió muerte de paciente por tuberculosis y exposición de trabajadores
La acción legal en contra del recinto asistencial se sustenta en una falla en el sistema de ventilación en la Unidad de Pacientes Críticos, donde estuvo internado un paciente que padecía la infección bacteriana que ataca los pulmones y dañar otros órganos del cuerpo.
Hospital Gustavo Fricke: Presentan querella por exposición de más de 100 trabajadores a tuberculosis
La situación se habría producido al interior del Hospital Las Higueras de Talcahuano, donde la madre con PCR negativo dio a luz a la pequeña presentó molestias tras ser dada de alta, propagando el virus a seis miembros del grupo familiar.
Presunta negligencia: bebé se contagió de COVID-19 en hospital y generó brote en su familia
Kent Ryan Tomao fue atacado por delincuentes en enero del año pasado, los médicos no lo revisaron y solo suturaron la herida.
[VIDEO] Lo apuñalaron en asalto y 14 meses después le descubrieron cuchillo en el cuerpo
Jeff Henigson fue examinado en 1986, luego de sufrir un accidente de tránsito, donde le "encontraron" un tumor cerebral, por lo que el equipo médico le dio solo 3 años más de vida. "Los patólogos, como todos los demás, cometen errores", dijo un profesional que lo revisó.







![[VIDEO] Lo apuñalaron en asalto y 14 meses después le descubrieron cuchillo en el cuerpo](https://www.encancha.cl/resizer/v2/D724INXB5BDQDL2YTZMDKBBF5E.jpg?auth=476933715342dc0e385d0becd0e44633e8ec16b053d1bb7476de5e830ed79280&smart=true&width=350&height=231&quality=70)

